Case of the Month #11
Dentist: Dr. Renee Watts
498 Harlow Drive
Springfield, OR 97477
(541)465-9821
The Problem
Mike is a 45 year old construction worker. He initially presented to our office as an emergency patient with a toothache. One year later he returned and was ready to pursue comprehensive care. His periodontal prognosis was good however he had multiple missing, carious, abscessing and broken teeth, some of which were non-restorable. He wished to have a solution that would help him avoid future toothaches and problems, would give him the confidence of a nice smile and fit within his budget. Treatment options discussed included complete dentures and replacement of missing teeth with implants.

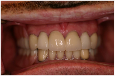
The Solution
The final treatment plan included C&L crowns on teeth #6-11, 22 and 27 and Equipoise precision partial dentures. C&L precision attachments were used on teeth #6, 11, 22 & 27. The case has been in the mouth for three months. The patient is very pleased with his appearance, has adapted well to the removable appliances and can chew comfortably.

Success




